Aqsa Gilani
1 month ago
Room # 3 & 4, 2nd Floor, Taj Clinics Building, Block 3, Gulshan e Iqbal, Karachi
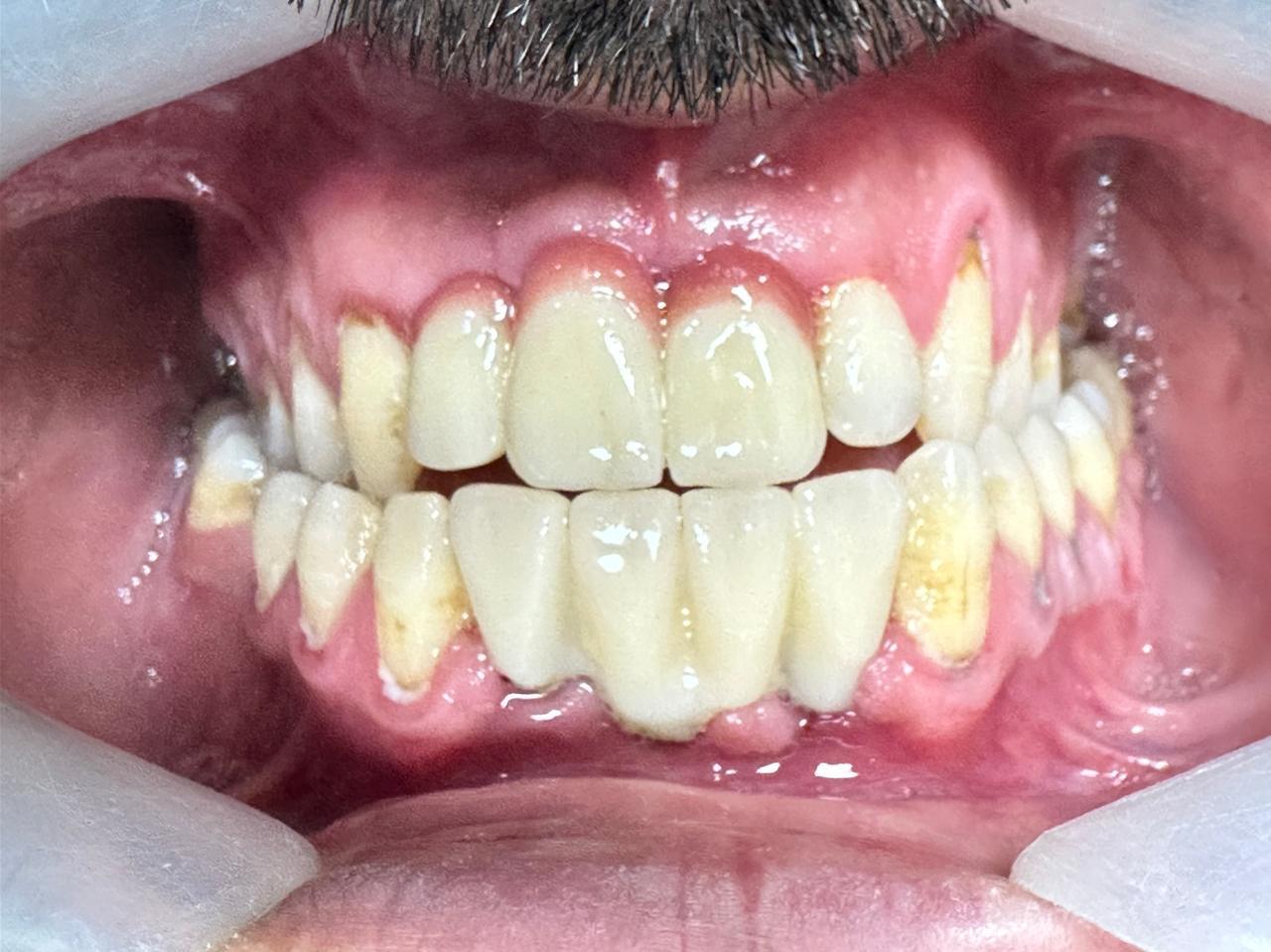
A zirconium crown is the best solution for teeth that are cracked, severely worn, root-canal treated, or too weak for fillings. It restores the tooth’s full strength and natural appearance while protecting it from further damage.
Many patients struggle with crowns that look artificial, chip easily, or cause gum irritation. Zirconium crowns eliminate these issues by providing exceptional strength, precise fit, and a metal-free design that blends seamlessly with surrounding teeth.
At The Dental Clinic, our dentists design zirconium crowns using advanced digital techniques to ensure accurate fit, strong bite support, and natural aesthetics. The result is a long-lasting restoration that protects your tooth, restores function, and gives you a confident, natural-looking smile.
Restore damaged or weakened teeth with expertly designed zirconium crowns that combine strength with a natural appearance. At The Dental Clinic, we focus on precise crown placement that protects the tooth structure while restoring normal chewing function and aesthetics.
Zirconium crowns are known for their durability, stain resistance, and lifelike appearance. Using modern dental techniques, we create crowns that restore tooth strength, improve appearance, and provide long-term protection for damaged teeth.
Every zirconium crown treatment begins with a careful assessment of the affected tooth, bite alignment, and surrounding teeth. Our dentists explain the treatment process, material benefits, and expected results so patients can choose a durable and natural-looking restoration with confidence.
Successful crown treatment requires precision and proper tooth preparation. Our dentists have extensive experience in zirconium crown restorations, ensuring accurate fit, strong bite support, and a crown that blends naturally with existing teeth.
The cost of a zirconium or E-max crown (excluding temporary crown) ranges from ₨40,000 to ₨50,000.
At The Dental Clinic, we start every treatment with a comprehensive consultation for just ₨2,000, where our expert dentists assess your teeth, discuss your options, and provide a clear, personalized cost estimate for your zirconium crown.

For teeth that are damaged, worn, or weakened, our zirconium crowns provide a complete restorative solution. They protect the underlying tooth, restore chewing function, improve alignment, and strengthen oral health, delivering results that are both natural and long-lasting.

Our zirconium crown treatments begin with a thorough oral assessment and consultation. We evaluate the affected tooth, surrounding teeth, bite alignment, and overall oral health to create a personalized treatment plan. This ensures precise, natural-looking, and durable results for every patient.

Enhance your smile with zirconium crowns, designed to match the color, shape, and texture of your natural teeth. These crowns restore the tooth’s appearance while maintaining a strong, comfortable bite. Our treatments focus on aesthetics, comfort, and long-lasting results.
The cost of a zirconium crown typically ranges from ₨40,000 to ₨50,000, depending on the complexity of the case. Some dental insurance plans may cover part of the cost. At The Dental Clinic, we provide a detailed treatment plan and cost estimate during consultation.
With proper care, a zirconium crown can last 10–15 years or more. Its durable, metal-free design resists chipping, staining, and wear, making it one of the most reliable long-term tooth restoration options.
The procedure for placing a zirconium crown is minimally invasive and comfortable. Local anesthesia is used to ensure a pain-free experience, and our dentists focus on precision to minimize sensitivity during and after treatment.
Unlike traditional metal or porcelain-fused-to-metal crowns, zirconium crowns are metal-free, tooth-colored, and biocompatible, providing a natural look while maintaining superior strength and durability for both front and back teeth.
You may need a zirconium crown if your tooth is cracked, severely worn, decayed, or root canal treated. Our dentists perform a comprehensive tooth assessment to recommend the most suitable restoration for both function and appearance.
We offer a full range of preventive, restorative, and cosmetic treatments, making The Dental Clinic a trusted choice for patients looking for reliable, stress-free dental care in Karachi.
Your smile deserves expert attention.
1 month ago
Dr. Saqib has been my dentist for 9 years. My teeth are brighter and I feel more confident about my smile. The staff is welcoming and very professional. Highly recommended.
1 month ago
Visited Dr. Saqib for a polishing session, and I’m really happy with how it turned out. The results were noticeable right away; my smile looks much more polished and neater. Highly recommended if you are looking for a reliable dentist in gulshan e iqbal area.
2 months ago
Best decision ever to get my veneers done from Dr. Saqib. The clinic is super clean and comfortable. He actually listened to what I wanted and gave honest advice. The final result looks very natural, not fake at all. 10/10 experience!
2 months ago
My smile is totally transformed after finally getting my braces off! Huge shoutout to Dr. Saqib Minhas for being amazing.
2 months ago
I took my child to Dr. Saqib’s clinic for a dental checkup and had a really good experience. For anyone looking for the best child dentist in Gulshan e iqbal, dr saqib is great option. The staff was friendly and patient, and they made my child feel comfortable right away. Dr. Saqib was gentle, and the visit was smooth and stress-free. My child left happy, which says it all. highly recommended!
2 months ago
My smile is totally transformed after getting braces! Huge shoutout to Dr. Saqib Minhas for being amazing.
2 months ago
Had a tooth X-ray at The Dental Clinic with Dr. Saqib. The procedure was quick, and the Dr. saqib clearly explained why the X-ray was needed.
2 months ago
I had a wonderful experience with Dr. Saqib for my scaling and polishing treatment. He was extremely professional, gentle, and explained everything clearly, which made the whole process comfortable and stress-free. The entire process was painless, clean, and done with care. My teeth feel noticeably cleaner, smoother, and fresher than before. I highly recommended to anyone looking for the best scaling and polishing treatment in karachi
Book an appointment for a professional dental consultation and our experienced team and will reach out within the next 24 hours.